Non-binding consultation

Online video consultation

Please leave your contact information and we will get back to you right away.

We will schedule a time and tell you all about your treatment in detail.

Consult with a plastic surgeon online during video consultation.

Please leave your contact information and we will get back to you right away. We will schedule a time and tell you all about your treatment in detail.

By submitting this form, you consent to the processing of personal data.

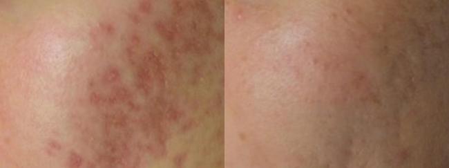
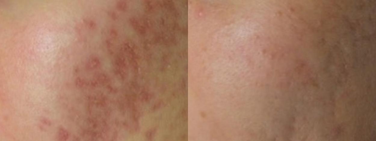
Skin Microneedling

Skin Microneedling

  • Stimulates the skin's natural renewal and collagen remodeling
  • Improves skin texture: pores, fine lines, uneven tone, acne scars
  • Gentle treatment without heat, chemicals, or injections
  • Suitable for all skin types and phototypes (I-VI)

State-of-the-art medical microneedling designed to smooth acne scars, refine pores, even out skin tone, and restore a firmer, fresher-looking complexion. A gentle procedure suitable for all phototypes (I–VI), including sensitive skin, with minimal downtime and natural-looking results.

Asklepion

A NATURAL SKIN RESET – WITHOUT HEAT OR CHEMICALS

WHAT IS MICRONEEDLING?

Microneedling supports the skin’s natural renewal by activating the healing process and stimulating the production of collagen and elastin. The treatment works without heat, chemical substances, or invasive injections – the goal is a naturally firmer and smoother appearance.

HOW DOES THE TREATMENT WORK?

First, a numbing cream is applied to ensure maximum comfort during the procedure. The selected area is then gently treated using microneedling technology, which creates controlled micro-channels in the skin and triggers the natural regeneration process. During the treatment, a hydrating gel is used to reduce friction and enhance comfort. The entire facial treatment usually takes approximately 30 minutes.

WHO IS IT SUITABLE FOR?

Microneedling is most commonly chosen to improve acne scars and minor skin irregularities, soften early lines and wrinkles, and reduce enlarged pores. It can also help even out skin tone in selected types of pigmentation irregularities and improve rough texture or a tired-looking complexion. In some clients, it may also be suitable for stretch marks and small scars – always depending on the specific concern and treated area.

TREATED AREAS

Microneedling is most commonly performed on the face, neck, décolleté, and hands. Depending on the condition of the skin and the treatment goal, other areas may also be treated – always individually after a consultation.

Asklepion

Skin Microneedling - FAQ

How should I prepare for the treatment?
During the consultation, your health status and expectations will be discussed. Before the treatment, it is important to protect your skin from the sun and, based on the specialist's recommendations, temporarily adjust the use of certain active ingredientsin your skincare routine (e.g. retinoids). The exact preparation protocol is always set individually.
When will I see the first results and when is the “full effect” visible?
Results develop gradually. Some people notice improvements within a few weeks, while the fuller effect is usually assessed over the course of several months.
What should (and shouldn’t) I do in the first days after the treatment?
The key is to keep the treated area clean and follow a simple skincare routine. Protect the skin from the sun and adhere to the recommended hydration regimen. Avoid makeup for 48 hours. In the first few days, hot water, saunas, swimming, and intense physicalactivity are not recommended.

Asklepion Magazine

Magazín 2026 Magazín 2025 Magazín 2024 Magazín 2023 Magazín 04/19

We appreciate your privacy

On our website, we use cookies that are necessary for the functioning of the website. In order to better tailor the content to what truly interests you, we need your consent.

You can express your consent by clicking on the "Accept all cookies" button, and you can withdraw it at any time. By granting it, you allow us to use data about your behaviour on the website to display targeted advertising on social networks and other websites.

You can change cookie settings at any time in the „Cookie information“ section.